Salpingoeca
Salpingoeca is a genus of Choanoflagellates in the family Salpingoecidae.
| Salpingoeca | |
|---|---|
![]() | |
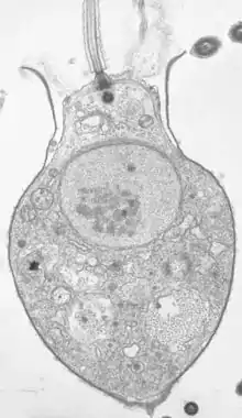
| Salpingoeca sp., in transmission electron microscopy (TEM | |
| Scientific classification | |
| Domain: | |
| (unranked): | |
| (unranked): | |
| Class: | |
| Order: | |
| Family: | |
| Genus: | Salpingoeca James-Clark, 1866[1] |
| Species | |
| |
References
- James-Clark, H. (1868). On the Spongia Ciliatae as Infusoria Flagellata; or, observations on the structure, animality, and relationship of Leucosolenia botryoides, Bowerbank. Memoirs of the Boston Society of Natural History, 1 (3): 305-340. Also published in the Proceedings of this Society in June 20, 1866 (vol. 11, p. 15), in the American Journal of Science in November 1866, in the Annals and Magazine of Natural History in January 1867, and in the Annals and Magazine of Natural History in 1868 (4th ser., vol. 1: 133-142, 188–215, 250–264).
- Ultrastructure et mode de nutrition du Choanoflagellé Salpingoeca pelagica, sp. nov. comparaison avec les choanocytes des Spongiaires. M Laval, 1971
- Cell differentiation and morphogenesis in the colony-forming choanoflagellate Salpingoeca rosetta. MJ Dayel, RA Alegado, SR Fairclough, TC Levin... - Developmental biology, 2011
- Premetazoan genome evolution and the regulation of cell differentiation in the choanoflagellate Salpingoeca rosetta
SR Fairclough, Z Chen, E Kramer, Q Zeng, S Young... - Genome biology, 2013
This article is issued from Wikipedia. The text is licensed under Creative Commons - Attribution - Sharealike. Additional terms may apply for the media files.
