Trichoadenoma

Trichoadenoma
Classification and external resources
Specialty oncology, dermatology
ICD-10 D23 (ILDS D23.L18)

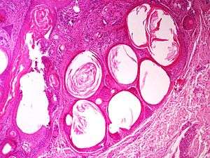
A trichoadenoma (also known as a "trichoadenoma of Nikolowski"[1]) is a cutaneous condition characterized by a solitary, rapidly growing skin lesion ranging from 3 to 15mm in diameter.[2]:675

See also

References

  1. Rapini, Ronald P.; Bolognia, Jean L.; Jorizzo, Joseph L. (2007). Dermatology: 2-Volume Set. St. Louis: Mosby. p. 1701. ISBN 1-4160-2999-0.
  2. James, William D.; Berger, Timothy G.; et al. (2006). Andrews' Diseases of the Skin: Clinical Dermatology. Saunders Elsevier. ISBN 0-7216-2921-0.


This article is issued from Wikipedia - version of the 5/19/2016. The text is available under the Creative Commons Attribution/Share Alike but additional terms may apply for the media files.