Joint dislocation
| Joint dislocation | |
|---|---|
|
| |
| A traumatic dislocation of the tibiotarsal joint of the ankle with distal fibular fracture. Open arrow marks the tibia and the closed arrow marks the talus. | |
| Classification and external resources | |
| Specialty | emergency medicine |
| ICD-10 | T14.3 |
| ICD-9-CM | 830-848 |
| MedlinePlus | 000014 |
| MeSH | D004204 |
A joint dislocation, also called luxation, occurs when there is an abnormal separation in the joint, where two or more bones meet.[1] A partial dislocation is referred to as a subluxation. Dislocations are often caused by sudden trauma on the joint like an impact or fall. A joint dislocation can cause damage to the surrounding ligaments, tendons, muscles, and nerves.[2] Dislocations can occur in any joint major (shoulder, knees, etc.) or minor (toes, fingers, etc.). The most common joint dislocation is a shoulder dislocation.[1]
Treatment for joint dislocation is usually by closed reduction, that is, skilled manipulation to return the bones to their normal position. Reduction should be done only by trained people, because it can cause injury.
Causes
Joint dislocations are caused by trauma to the joint or when an individual falls on a specific joint.[3] Great and sudden force applied, by either a blow or fall, to the joint can cause the bones in the joint to be displaced or dislocated from normal position.[4] With each dislocation, the ligaments keeping the bones fixed in the correct position can be damaged or loosened, making it easier for the joint to be dislocated in the future.[5]
Some individuals are prone to dislocations due to congenital conditions, such as hypermobility syndrome and Ehlers-Danlos Syndrome. Hypermobility syndrome is genetically inherited disorder that is thought to affect the encoding of the connective tissue protein’s collagen in the ligament of joints.[6] The loosened or stretched ligaments in the joint provide little stability and allow for the joint to be easily dislocated.[1]
Symptoms
The following symptoms are common with any type of dislocation.[1]
- Intense Pain
- Joint instability
- Deformity of the joint area
- Reduced muscle strength
- Bruising or redness of joint area
- Difficulty moving joint
- Stiffness
Treatment
A dislocated joint usually can be successfully reduced into its normal position only by a trained medical professional. Trying to reduce a joint without any training could substantially worsen the injury.[7]
X-rays are usually taken to confirm a diagnosis and detect any fractures which may also have occurred at the time of dislocation. A dislocation is easily seen on an X-ray.[8]
Once a diagnosis is confirmed, the joint is usually manipulated back into position. This can be a very painful process, therefore this is typically done either in the emergency department under sedation or in an operating room under a general anaesthetic.[9]
It is important the joint is reduced as soon as possible, as in the state of dislocation, the blood supply to the joint (or distal anatomy) may be compromised. This is especially true in the case of a dislocated ankle, due to the anatomy of the blood supply to the foot.[10]
Shoulder injuries can also be surgically stabilized, depending on the severity, using arthroscopic surgery.[8]
Some joints are more at risk of becoming dislocated again after an initial injury. This is due to the weakening of the muscles and ligaments which hold the joint in place. The shoulder is a prime example of this. Any shoulder dislocation should be followed up with thorough physiotherapy.[8]
After care
After a dislocation, injured joints are usually held in place by a splint (for straight joints like fingers and toes) or a bandage (for complex joints like shoulders). Additionally, the joint muscles, tendons and ligaments must also be strengthened. This is usually done through a course of physiotherapy, which will also help reduce the chances of repeated dislocations of the same joint.[11]
Epidemiology
Each joint in the body can be dislocated, however, there are common sites where most dislocations occur. The most commonly dislocated is the shoulder joint.[12] The most common type of shoulder dislocation is anterior dislocation, which occurs 95% of the time.[12] The next most common shoulder dislocation is posterior dislocation, which only occurs 3% of the time. Other common areas for dislocations include the following:
- Dislocated shoulder
- Knee: Patellar dislocation
- Elbow: Posterior dislocation, 90% of all elbow dislocations[13]
- Wrist: Lunate and Perilunate dislocation most common[14]
- Finger: Interphalangeal (IP) or metacarpophalangeal (MCP) joint dislocations[15]
- Hip: Posterior and anterior dislocation of hip
- Foot: Lisfranc injury
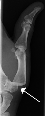
Gallery
Dislocation of the left index finger
Radiograph of right fifth phalanx bone dislocation- Radiograph of left index finger dislocation
Depiction of reduction of a dislocated spine, ca. 1300- Dislocation of the carpo-metacarpal joint.
Radiograph of right fifth phalanx dislocation resulting from bicycle accident- Right fifth phalanx dislocation resulting from bicycle accident
See also
References
- 1 2 3 4 Dislocations. Lucile Packard Children’s Hospital at Stanford. Retrieved 3/3/2013.
- ↑ Smith, R. L., & Brunolli, J. J. (1990). Shoulder kinesthesia after anterior glenohumeral joint dislocation. Journal Of Orthopaedic & Sports Physical Therapy, 11(11), 507-513.
- ↑ Mayo Clinic: Finger Dislocation Joint Reduction
- ↑ U
.S . National Library of Medicine - Dislocation - ↑ Pubmed Health: Dislocation – Joint dislocation
- ↑ Ruemper, A. & Watkins, K. (2012). Correlations between general joint hypermobility and joint hypermobility syndrome and injury in contemporary dance students. Journal of Dance Medicine & Science, 16(4): 161-166.
- ↑ Bankart, A. (2004). The pathology and treatment of recurrent dislocation of the shoulder-joint. Acta Orthop Belg. 70: 515-519
- 1 2 3 Dias, J., Steingold, R., Richardson, R., Tesfayohannes, B., Gregg, P. (1987). The conservative treatment of acromioclavicular dislocation. British Editorial Society of Bone and Joint Surgery. 69(5): 719-722.
- ↑ Holdsworth, F. (1970). Fractures, dislocations, and fracture dislocations of the spine. The Journal of Bone and Joint Surgery. 52 (8): 1534-1551.
- ↑ Ganz, R., Gill, T., Gautier, E., Ganz, K., Krugel, N., Berlemann, U. (2001). Surgical dislocation of the adult hip. The Journal of Bone and Joint Surgery. 83(8): 1119-1124.
- ↑ Itoi, E., Hatakeyama, Y., Kido, T., Sato, T., Minagawa, H., Wakabayashi, I., Kobayashi, M. (2003). Journal of Shoulder and Elbow Surgery. 12(5): 413-415.
- 1 2 Malik S, Chiampas G, Leonard H (November 2010). "Emergent evaluation of injuries to the shoulder, clavicle, and humerus". Emerg Med Clin North Am. 28 (4): 739–63. doi:10.1016/j.emc.2010.06.006. PMID 20971390.
- ↑ Elbow Dislocation
- ↑ Carpal dislocations
- ↑ Finger Dislocation Joint Reduction